Image Challenge
1 / 5
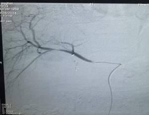
1. A 54-year-old male patient undergoes a laparoscopic cholecystectomy that is complicated by an unrecognised injury to an aberrant right hepatic artery (ARHA). Two weeks post-operatively, the patient presents with the classic Quincke's triad: right upper quadrant pain, obstructive jaundice, and gastrointestinal bleeding (hematemesis/melena) due to a progressive drop in hemoglobin. A subsequent CT angiography and selective angiogram confirm a growing vascular sac communicating with the hepatic artery
What is the most likely diagnosis and its corresponding preferred first-line management?
2 / 5
2. Tracheal Resection and Primary Anastomosis (TRPA) is considered the gold-standard treatment for short-segment, fixed tracheal stenosis. Which of the following statements correctly describes a critical technical limitation or principle of this procedure?
3 / 5
3. A patient presents with increasing shortness of breath and audible noisy breathing (stridor) following prolonged intubation. Flexible fiberoptic bronchoscopy reveals a subglottic stenosis where the tracheal lumen is visibly reduced to a small, pinhole opening, estimated to be less than 5% of the normal diameter, as shown in the image below. According to the Myer-Cotton Classification of subglottic stenosis, which grade corresponds to this finding?
4 / 5
4. A 44-year-old male presents with a 5-year history of chronic diarrhea and recent right lower-quadrant abdominal pain. Colonoscopy reveals the appearance shown in the image, with multiple elongated superficial ulcers and intervening normal mucosa. Which of the following is the most likely diagnosis?
5 / 5
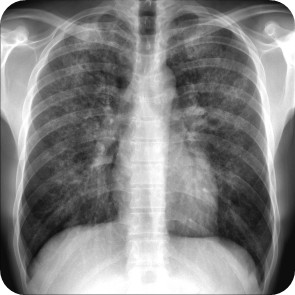
5. A 32-year-old renal transplant recipient presents with low-grade fever, dry cough, and dyspnea. Chest X-ray (shown in the image) demonstrates diffuse perihilar hazy opacities. His immunosuppressive regimen includes cyclosporine, prednisolone, and mycophenolate mofetil. HIV screening was later found positive. Sputum cultures, AFB, Gram stain, and CMV PCR are negative. What is the most likely diagnosis?
Your score is
The average score is 40%
Restart quiz
Copyright © 2025 Rawalpindi Medical University. All rights are reserved. | The content of this site is intended for health care professionals.